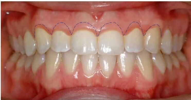
Gingivektomi Nedir?
Diş etlerinin daha iyi görünmesi amacı ile gingivektomi tedavi yöntemi uygulanmaktadır. Bu tedavi aşamasında insanların diş etlerinin nitelikli olarak temizlenmesi amaçlanmaktadır. Özellikle son zamanlarda insanların diş etlerinde ortaya çıkan sorunların giderilmesi aşamasında estetik nitelikler karşılanmaktadır.
Diş etlerinin zarar görmesi durumunda gülüşlerin de düzeltilmesi gerekmektedir. Son zamanların popüler yöntemlerinden birisi olan gingivektomi ile birlikte insanların diş etlerine cerrahi müdahale yapılması sağlanmaktadır. Gingikvetomi yöntemi ile diş etlerinin yanı sıra diş etlerinin dolaylı olarak etkileyen çene yapısı, burun ve dudak yapılarının etkilenmesi de sağlanmaktadır.
Gingivektomi Nasıl Yapılır?
Bu tedavi yönteminin uygulanması öncesinde hastaların diş etlerinin plaklarının temizlenmesi yapılır. Diş etlerinin dışında bazı malzemeler kullanılarak taşların da temizlenmesi gerekmektedir. Gingivektomi yöntemi sayesinde hastaların diş etlerinin uyuşturulması yapılarak tedavi uygulanmaktadır. İşlemlerin yapılması diş sayısına göre değişiklik göstermektedir.

Bazı diş etlerinin bu uygulaması sırasında diş etlerinin işlem süresi diş sayısı ile ilintilidir. Bazen işlemin bir dakika kadar sürmesinin yanı sıra bazı yerlerde diş etlerinin işlemlerinin süresi 1 saati kadar bulabilmektedir.
Gingivektomi Hangi Durumlarda Uygulanır?
Hastalarda dişlerin kırıkları nedeni ile zamanla diş etlerinde zararlar görülür. Diş çürükleri nedeni ile de diş etleri zarar görebilmektedir. Diş etinin bazen uzatılması gerekmektedir. Diş boyu uzatılarak da tedavi yerine getirilmektedir. Gingivektomi yönteminde hastaların diş etlerine bağlı olarak istenilen tedavi yöntemi gerçekleştirilmektedir. Dişlerin fonksiyonelliğinin yerine getirilmesi aşamasında bu tedavi yönteminden yararlanılmaktadır.
Gingivektomi İyileşme Süresi
İşlemin sonrasında hastaların diş etlerinin iyileşme süreleri hastaya göre değişiklik göstermektedir. Yine aynı zamanda iyileşme süreleri hastaların 3 ile 4 hafta olduğu görülmektedir. Cerrahi işlemlerin yerine getirilmesi aşamasında işlemden sonra diş etlerinin bandaj ile kapatılması gerekir. Eğer bandaj yapılır ise bu durumda hastanın ağzında 10 gün sürede kalması gerekmektedir. İyileşme süreleri bunun yanında bir ayı kadar bulan iyileşme süreleri ile dikkat çeker.
Gingivektomi Öncesi
Gingivektomi öncesinde hastaların bu niteliklerinin yerine getirilmesinde gerekli tetkiklerin yapılması gerekmektedir. Bu kapsamda hastaların tedavi öncesinde diş röntgenleri çekilerek gerekli tetkikler yapılmaktadır. İşleme hazırlık aşamasında ağız yapısının işleme uygun olup olmadığı tespit edilmelidir.
İşlemlere başlanmadan önce gingivektomi yapılmaya hazırlık olarak ağız temizliği yerine getirilmelidir. Temizlik ve hijyen olmazsa olmaz şartlar arasında yer almaktadır. İşlemden önce bu hazırlıklar yapılarak nitelikli bir şekilde tedavi yerine getirilmektedir. Gerekli hijyen şartları yerine getirilerek hastaların daha başarılı bir şekilde tedavi olması sağlanmaktadır.
Gingivektomi Sonrası Nelere Dikkat Edilmelidir?
Hastaların tedavi sonrasında dikkat etmesi gereken hususlar bulunmaktadır. Sonrasında hastaların beslenme alışkanlıklarına dikkat etmesi gerekir. Yine hastaların hijyen koşullarına dikkat ederek enfeksiyonlardan kurtulması ve başta mantar hastalıkları olmak üzere sorunlardan kurtulunması yerine getirilmektedir.
Gingivektomi Yaptıranlar
Bu konuda son zamanlarda insanların yorumlarına bakabilirsiniz. İnternet sitelerinde yer alan yorumlardan hareketle tedavi sürecinin nasıl ilerlediği başta olmak üzere birçok insanın tecrübeleri tespit edilebilir. Gingivektomi yöntemi nedeni ile son zamanlarda ortaya çıkan tereddütlerin giderilmesi aşamasında yorumlardan yararlanabilirsiniz. Yine sağlık merkezi tercihi aşamasında sizlere hizmet veren internet siteleri bulunmaktadır. İnternet sitelerinde yer alan yorumlara bakarak siz de kolay bir şekilde diş etlerinin daha iyi hale getirilmesi mümkün olabilmektedir.
Gingivektomi Fiyatları 2026 Ne Kadardır?
Son zamanlarda birçok sağlık merkezinde uygulanan gingivektomi yöntemi hakkında en nitelikli bilgileri almak için sağlık merkezlerinden yardım alabilirsiniz. Aynı zamanda fiyatlar hakkında daha detaylı bilgi alabilmek adına sizlere hizmet veren internet siteleri en düşük fiyatları sizlere sunmaktadır. Hastanın diş eti sorunlarının büyüklüğüne göre değişen fiyatlar bulunmaktadır.
Yine fiyatların yanı sıra tedavinin başarılı olması da önem taşıdığından dolayı son zamanlarda hem kaliteyi hem de fiyatları ön plana çıkaran sağlık merkezlerinden tedavi olabilirsiniz. Üstelik sizlere sunulan bu imkânların yanında insanların kolay bir şekilde yararlanabileceği internet siteleri gerek fiyatlar gerekse de hastaların yorumları konusunda sizlere yardımcı olmaktadır.
Gingivektomi yöntemi sonrasında ortaya çıkan durumlar ve cerrahi işlemlerin yapılması aşamasında doktorunuzdan bilgi alabilirsiniz. Benzersiz olarak sunulan hizmetler ile birlikte siz de diş etlerinin ve diş sağlığının sağlanması mümkündür.
Gingivektomi ile Gingivoplasti Arasındaki Fark
Sağlık alanında diş ve çene yapısının korunması amacı ile başta gingivektomi yöntemi olmak üzere çeşitli yöntemler kullanılmaktadır. Aynı zamanda bu yöntemin dışında uygulanan bir diğer yöntem de gingivoplasti yöntemidir. Bu yöntem diğer yöntemden farklı olarak diş etlerinin şekillendirilmesi amacı güder. Klasik olarak uygulanan plastik cerrahi yöntemleri ile hastaların diş etlerinin istenilen niteliklerde olması sağlanmaktadır.
Aynı zamanda hastaların diş etlerinin daha güzel görünmesi amacı ile kullanılan bir yöntem olan gingivoplasti yöntemi sayesinde gülüş estetiği işlemleri de yerine getirilmektedir. Gingivektomi özelinde gülüşü sırasında ortaya çıkan diş eti sorunları nedeni ile birçok hasta psikolojik olarak kendini daha iyi hissetmektedir. Hem cerrahi yöntemler hem de diş eti yöntemleri ile hastaların genel görünümlerinin iyileştirilmesi sağlanarak başarılı bir şekilde yerine getirilmektedir.
Gingivektomi Riskleri ve Zararları Nelerdir?
Son zamanların en başarılı yöntemlerinden birisi olan gingivektomi yöntemi ile birlikte hastaların diş etlerinin daha iyi hale getirilmesi sağlanmaktadır. Aynı zamanda bu yöntemin gerçekleştirilmesi aşamasında ve sonrasında diş eti ile ilgili bazen iltihabi durumlar karşımıza çıkmaktadır.
Enfeksiyon riskinin en aza indirilmesi aşamasında kullanılan yöntemler sayesinde hastaların antibiyotik ile olası risklerden kaçınması sağlanmaktadır.
Genel olarak bakıldığında belirgin bir yan etkisi olmamakla birlikte hastaların cerrahi işlemlerin sonrasında hijyenlerine ve yeme içme alışkanlıklarına dikkat etmesi gerekmektedir. Aksi halde ortaya çıkan enfeksiyon sorunları ağız içi yaralanmalara neden olabilmektedir.
Yine tedavi sonrasında doktorunuzun tavsiyeleri eşliğinde uygun bir tedavi yöntemi belirlenerek hastaların beklentilerinin karşılanması sağlanmaktadır. Son zamanlarda birçok sağlık merkezinde başarılı ile yerine getirilen bu tedavi yöntemi aynı zamanda hastaların diş etlerinin uzun süreli sağlıklı kalması açısından da önem taşır.
Gingivektomi Zararı Var Mıdır?
Eğer hasta diş eti ve ağız sağlığını korur ise bilinen bir zararlı yönü olmayan bir yöntemdir. Yine bu yöntem sayesinde hastaların genel görünümlerinde estetik kaygılar da karşılanmaktadır. Hem gülüş estetiği yöntemi hem de çene cerrahi yöntemlerine benzer bir yöntem olan ve bu beklentilerin karşılanması aşamasında ön plana çıkan bu tedavi yöntemi ile birlikte eşsiz bir gülüş yakalamak mümkündür.
Nitelikli bir şekilde insanların yararlanabileceği bu yöntem ile hastaların genel olarak kendilerini daha iyi hissetmesi sağlanabilmektedir.
Diş etleri gerekli bakımların yapılmaması durumunda ağız kokusu ve diş eti kanamalarına neden olmaktadır. Tüm bu nedenlerden dolayı diş etlerinin bakımlarının yapılması büyük önem taşır. Aynı zamanda bilinen bir zararı olmayan bu yöntem ile hastaların estetik olarak çene yapısında nitelikli bir görünüm sağlanabildiğinden dolayı hastaların yararlanması imkân dahilindedir.
Siz de estetik olarak daha iyi bir görünüm elde edebilmek istiyor iseniz bu yöntemden kolay bir şekilde yararlanabilirsiniz. Özellikle son zamanlarda birçok sağlık merkezinde yaygın olarak kullanılan bu yöntem aynı zamanda hastaların genel görünümleri için de önemlidir. Siz de diş estetiği için gingivektomi yönteminden yararlanabilirsiniz.
Whatsapp
Hemen Ara
