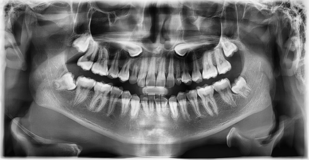
Gömülü Diş

Gömülü Diş Nedir?

Gömülü Diş; Çıkma vakti gelmesine rağmen çıkmamış dişlere denilmektedir. Bu dişler olması gereken yerde çıkmadığından dolayı çene kemiğinin alt bölümünde kalmaktadır. Bu durum genellikle 20 yaş veya büyük azı dişlerinde görülmekte ve nadiren diğer dişlerde de farklı nedenlere bağlı olarak problemler ortaya çıkmaktadır.

Gömülü dişler, kemik içerisinde yer almakta ve kişiler tarafından kolay bir şekilde fark edilmemektedir. Ağız içerisinde görünmediklerinden dolayı diş hekimi kontrolleri sonucunda tespit edilmektedir. Dişlerde sırasında eksik bir diş varsa bu dişin gömülü kalma ihtimali oldukça yüksektir. Tamamen kemik içerisinde duran ve hiçbir sorun oluşturmayan ve ağız içerisinde yeterli alan bulunan gömülü dişlerin alınmasına gerek duyulmamaktadır.

Gömük dişlerin çekilmesi için herhangi bir sorun oluşturmaları gerekli değildir. Normal pozisyonunda olmayan ve dişleri sıkılaştıran gömülü diş ağız sağlığını tehdit etmese de diş ameliyatı ile alınmalıdır. Gömük diş, kişiye acı verdiği taktirde zaman veya enfeksiyon kaptığında diş hekimi kontrolünde çekilebilir.

Gömülü Diş Belirtileri Nelerdir?

Gömük dişler her insanda farklı bir zaman aralığında ve farklı semptomlarla ortaya çıkmaktadır. Doğru şekilde konumlanan dişlerde herhangi bir sorun meydana gelmeden gelişim tamamlanabilir. Ancak herkesin diş yapısı birbirinden farklıdır.

Doğru bir şekilde hizalanmamış gömülü diş belirtileri iki başlık altında değerlendirilebilir. Bunlardan ilki; meydana gelen ağrılardır. Diğeri ise; yansıma ağrılar ve semptomlardır. Genel olarak gömük dişlerdeki belirtilerden en öne çıkanı dişteki çürük ve diş eti iltihaplanmasıdır. Bu gömük dişler direkt olarak bir ağrı oluşturmasa da birçok farklı belirtiyle gün yüzüne çıkabilmektedir. Bu belirtiler için şunlar söylenebilir;

  • Diş etlerindeki hassasiyet oluşumu
  • Baş ağrısı
  • Ağız kokusu
  • Çiğneme esnasında şiddetli ağrıların olması
  • Lenf bezlerinde şişkinlik
  • Dişlerde ağrıların meydana gelmesi
  • Kulak, çene ve boyunda ağrı
  • Ağız açmada sorun yaşama

Bu belirtiler arasında en yaygın şekilde görülenleri; diş ağrısı, baş ağrısı ve hassasiyettir. Kişi kendisinde bu belirtileri gözlemliyorsa doğrudan diş hekimine başvurmalıdır.

Gömülü Dişler Nasıl Tedavi Edilir?

Gömük dişler problem oluşturuyorsa yapılması gereken şey dişin çekilmesidir. Gömük diş problemleri şunlardır;

  • Diş eti enfeksiyonu ve yarı gömülü diş varlığı
  • Sürme potansiyeli olan ve baskı tarzında ağrılara sebebiyet veren diş varlığı
  • Gömük dişlerin çevresinde kistik oluşumu riskinin yer alması
  • Ortodontik nedenler

Gömük dişler, hastanın estetik beklentileri ve hastanın genel sağlık durumu dikkate alınarak ağız ortamına sürdürülmektedir. Dişlerin sürdürülmesi için gerçekleştirilen işlemler ortodontik tedavilere göre yapılmaktadır. Diş, ortodontik olarak hareket ettirilemeyecek bir durumdaysa alternatif diş tedavileri düşünülebilir.

Dişler detaylı bir şekilde incelendikten sonra sürdürülemeyecek konumda olan diş çekilebilir veya konumunda bırakılabilir. Gömük diş sürüldükten sonra diğer dişler rahat bir şekilde kullanılabilmektedir.

İlginizi Çekebilir  Diş Eti Kanaması

Gömülü diş tedavi yöntemlerinde erken tanı oldukça önemlidir. Gömük dişler, tedavi öncesinde detaylı ve iyi bir şekilde değerlendirildiği taktirde tedaviye iyi yanıt alabilmek mümkündür.

Gömülü Diş Nasıl Çekilir?

Ağızda bulunması gereken konumda yer almayan gömülü dişler çene yapısına ve çene şekline zarar verebilmektedir. Aynı zamanda gömülü diş durumu diş çapraşıklığına da sebep olabilmektedir. Bir operasyon ile bu gömük dişler yerinden çıkarılmakta ve bu tarz problemlerin önüne geçilmektedir. Gelişen teknoloji sayesinde küçük operasyonlarla gömük dişler rahat ve kolay bir şekilde çıkarılmaktadır.

Gömük dişlerin çekim aşaması şöyledir;

  • Gömülü olan dişin bulunduğu alan lokal anestezi uygulamasıyla uyuşturulmaktadır. Bu şekilde hasta herhangi bir acı ve ağrı hissi yaşamamaktadır.
  • Lokal anestezi ile uyuşturulan alanda bulunan gömük dişler çıkarılarak bölgeye diş hekimi tarafından dikiş atılmaktadır.
  • İşlem sonrasında hastanın ağız ve diş sağlığına gereken önemi vermesi gereklidir.
  • Dikiş atılan bu alanın iyileşmesi yaklaşık olarak 10 gün sürmektedir. Bu zaman dilimi içerisinde diş hekiminin vereceği antibiyotik ve ağrı kesiciler kullanılabilir.

Gömülü Diş Neden Olur? Neden Gömülü Kalır?

Gömük dişlerin bu şekilde olmalarının en temel sebebi; ağızda yeterli derecede alanın olmamasıdır. Ağızdaki dişlerin fazlaca yer kaplaması ve gömük dişlerin kendisini konumlandıracağı bir alan olmaması gömülü diş sorununa neden olmaktadır.

Gömük dişlerin sebepleri arasında genetik faktörlerde yer almaktadır. Kişinin ailesindeki birisi daha önce gömük diş problemi yaşadıysa böyle bir sorun kişinin kendisinde de görülebilir.

Erken kaybedilen süt dişlerinden sonra çene kemiği olması gerektiği gibi gelişemediğinden dolayı alttan gelen kalıcı dişler konum darlığına neden olabilmektedir. Bundan dolayı dişler gömülü kalmaktadır. Erken kaybedilen süt dişinin çevresindeki dişlerin boşluğa kayması sonucunda diş kendisine yer bulamadığından gömülü kalabilmektedir.

Erken süt dişi kayıpları dişin gelme zamanından hemen önce gerçekleşmişse kalıcı dişin ağız boşluğundaki kısmında kemik dokusu gelişmekte ve bu durum dişin sürülmesini engellemektedir. Bu durumda dişin gömülü kalmasına neden olmaktadır.

Kalıcı dişlerin genişliği tüm dişlerin toplamından dar ise ağız ortamında hizalanma sırasında sıkıntılar olabilmektedir. Bu durumda bazı dişlerin gömülü kalmasına veya çapraşıklık sorunlarına sebebiyet vermektedir.

Gömülü Diş Çekim Ücreti 2025

Her kurumun veya kliniğin kendisine has bir fiyat prosedürü olduğu için gömülü diş fiyatlarına ilişkin net bir sayı vermek oldukça güçtür. Gömük diş çekimi öncesinde röntgen, ameliyat ve normal çekim kararının fiyatlarına dair önceden görüşme yapılmalıdır. Özellikle diş çekimi öncesinde uygulamanın yapılacağı merkezde ön görüşme için muayene olmak gereklidir.

İlginizi Çekebilir  Emax Kaplama

Diş çekimi fiyatlarına dahil edilen birçok unsurdan bahsetmek mümkündür. Bu unsurlar;

  • Uygulamanın gerçekleştirileceği merkez ve merkezin fiyat prosedürü
  • Diş hekimi deneyimi
  • İşlem süresi

Bunlara bağlı olarak bazı merkezlerde ek tedavi fiyatlarından bahsedilebilir. Ancak bu ek tedaviler her kurum ve merkezde yapılmamaktadır. Genel olarak gömülü diş fiyatları ile ilgili detaylı bilgi alabilmek işin işlemin yapılacağı merkezle iletişime geçmeli, muayene olunmalı ve sürecin fiyatlarına dair bilgilendirme alınmalıdır.

Gömülü Diş Çekimi Sonrasında Dikkat Edilmesi Gerekenler Nelerdir?

  • İşlemden sonraki ilk 2 saat herhangi bir şey tüketilmemelidir.
  • İlk 24 saat boyunca aşırı sıcak ve aşırı soğuk gıdaların tüketiminden kaçınılmalıdır. Bu süreçte ılık ve yumuşak cinse sahip gıdalar tüketilmelidir.
  • Portakal suyu ve kola gibi asitli gıdalar içilmemelidir.
  • Gömülü dişlerin çekiminden sonraki 2 gün boyunca sigara ve alkol tüketilmemelidir.
  • Diş çekiminden 48 saat sonra kanama olabilir. İşlemden sonra hastaya verilen tamponun ilk 2 saat boyunca ısırılması gereklidir. Kanamanın devam etmesi halinde yedek tamponlar varsa kullanılmalıdır.
  • Diş çekimi sonrasındaki belirli bir süre uyuşukluk devam etmektedir. Bu süreçte dudak ve dilin ısırılmamasına dikkat edilmelidir.
  • Diş çekiminden sonra ağrı ve şişlik meydana gelebilir. Diş hekimi tarafından önerilen ilaçların özenli bir şekilde kullanılması gereklidir. Şiddetli bir şişlik durumu ile karşılaşılırsa diş hekimiyle iletişime geçilmelidir.
  • Diş çekiminden sonraki ilk 24 saat dişler fırçalanmamalıdır. İlk gün ılık su yardımıyla gargara yapılabilir ve 24 saat sonra yumuşak fırça kullanılarak dişler fırçalanabilir.
  • Diş çekiminden sonraki ilk 24 saat soğuk kompres uygulaması yapılabilir.
  • Ortaya çıkabilecek komplikasyonları kontrol altında tutabilmek için gömülü diş çekimi sonrasında ağız ve diş sağlığına önem verilmelidir.

Sık Sorulan Sorular

Gömülü Diş Kendiliğinden Çıkar mı?

Gömük dişin kendiliğinden çıkabilmesi dişin kemik içerisindeki alanın durumuna bağlıdır. Eğer kemik içerisinde konum sıkıntılıysa gömük dişler kendiliğinden çıkamaz. Bu dişler kendiliğinden çıkamadıkları için gömülü olarak adlandırılmaktadır. Bundan dolayı gömük dişler için ortodontik tedavi yöntemleri yapılmaktadır.

Gömülü Diş Zararları Nelerdir?

Gömük dişler zamanında çekilmediği taktirde azı dişlerinde çürük, diş köklerinde erime ve apse durumları meydana gelebilmektedir. Gömülü dişin bulunduğu çevredeki dişlerde çürükler olabilmektedir. Gömük dişler ihmal edildikleri zaman çene kemiğinde kistler oluşabilmekte ve kalıcı diş kayıpları olabilmektedir. Buna bağlı olarak çene kemiğinde kemik erimesi durumlarına da neden olabilmektedir.

Üst Damakta Gömülü Diş Olur mu?

Üst damak bölgesinde köpek dişleri gömülü olarak kalabilmektedir. Bu durumda bulunan dişler, diş etinin alt bölgesinde ve çene kemiğinin içinde konumlanmaktadır. Gömülü olan köpek dişleri ağız boşluğuna ulaşamamaktadır. Köpek dişleri genellikle damaktadır. Süt dişleri ise sıklıkla ağızda konumlanmıştır.

İlginizi Çekebilir  Ortodonti

Gömülü Diş Ameliyatı Sonrası Dikişler Ne Zaman Geçer?

Gömük diş operasyonu sonrasında ağızdaki dikişler genel olarak 7-10 gün içerisinde alınmaktadır. Diş tedavisi sonrasında dikişlerin alınma süresi geldiyse diş hekimi ile iletişime geçilmelidir. İşlem sonrasında bölge kendisini kısa bir süre içerisinde toparlamaktadır.

Gömülü Diş Çekilmezse Ne Olur?

Gömük dişler zamanında çekilmediği taktirde dişlerde sık sık apse durumu meydana gelmektedir. Bu apseye bağlı olarak şişkinlikler görülmektedir. Yan büyüyen diş çevre dişlere baskı oluşturmakta ve şekil bozuklukları meydana gelmektedir. Ayrıca ağrı gibi olumsuz durumlar ile de karşılaşılmaktadır. Gömülü kalan dişler besin birikmesine de sebebiyet vermekte ve diğer dişlerinde çürümesine neden olmaktadır.

Gömülü Diş Çekimi Sonrası Nelere Dikkat Edilmelidir?

  • Diş çekimi sonrasında kanama ve şişlik gibi durumlar oluşabilir. Bu durumların giderilmesi için soğuk kompres uygulaması yapılabilir.
  • Dişlerin çekilmesinden sonraki ilk 2 saat herhangi bir şey tüketilmemelidir.
  • Ağız içerisindeki kan pıhtısı tükürülmenin yanı sıra yutulmalıdır.
  • Çekimden sonraki ilk birkaç gün egzersiz yapılmamalıdır.
  • Sigara ve alkol tüketimine dikkat edilmelidir.
  • Tuzlu su ile gargara yapılabilir.
  • Gömük dişlerin yer aldığı alana temas edilmemelidir.

Gömülü Diş Ameliyatı Ne Kadar Sürer? Yirmilik Gömülü Diş Çekimi Zor mu?

Bu işlemin süresi genel olarak 1 saat civarında sürmektedir. Hastaya genel anestezi verilmekte ve bölge uyuşturulmaktadır.

Yirmilik Gömük dişlerin çekilmesi için cerrahi operasyonlara gerek duyulmamaktadır. Gömülü dişlerin çekilmesi daha zor olan işlemlerdir.

Gömülü Diş Çekimi Sonrası Ağrı Ne Kadar Sürer?

Dişlerin çekiminden sonraki süreçte ağrı 1 hafta ile 3 hafta arasında sürmektedir. Bu süreci kısaltabilmek amacıyla bazı durumlara dikkat etmek gereklidir. Bunlardan en önemlisi aşırı sıcak veya aşırı soğuk besinlerden uzak durulmalıdır. Ağrının geçmesi için diş hekimi tarafından önerilen ağrı kesici ilaçlar kullanılabilir.

Gömülü Dişler Sürdürülerek (hareket ettirilerek) Kullanılır Hale Getirilir mi?

Gömülü kalan dişler ilk olarak ortodontik tedaviden geçmelidir. Daha sonra hastanın fonksiyonunu etkileyen kesici dişler sürdürülerek yerine getirilebilir. Böylece gömülü dişler sürdürülerek kullanılır halde olur.

Gömülü Dişler Alındıktan Sonra Ağrı, Şişlik, Morarma Olur mu?

İşlem esnasında çevredeki kemik dokulara baskı olmakta ve bu durum ağrı, şişlik ve morarma gibi sorunların görülmesini sağlamaktadır. Bu tarz durumlar iyileşme sürecinin bir parçası olarak görülmektedir. Ancak kontrol randevusu ile oluşabilecek sorunlara dair önlem alınmaktadır. Riskleri en az seviyede tutabilmek için diş hekiminin önerdiği şekilde buz kompres uygulaması gerçekleştirilmeli ve diş hekiminin önerdiği ağrı kesici ilaçlar kullanılmalıdır.